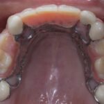
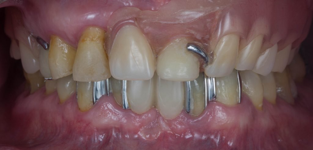
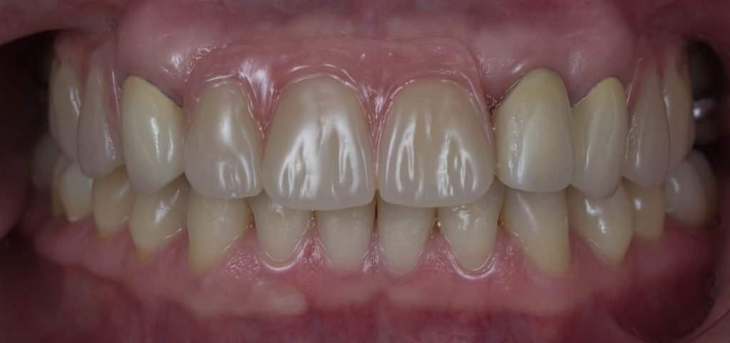
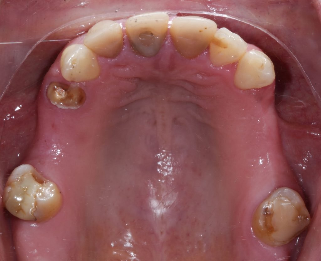
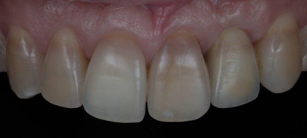
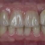
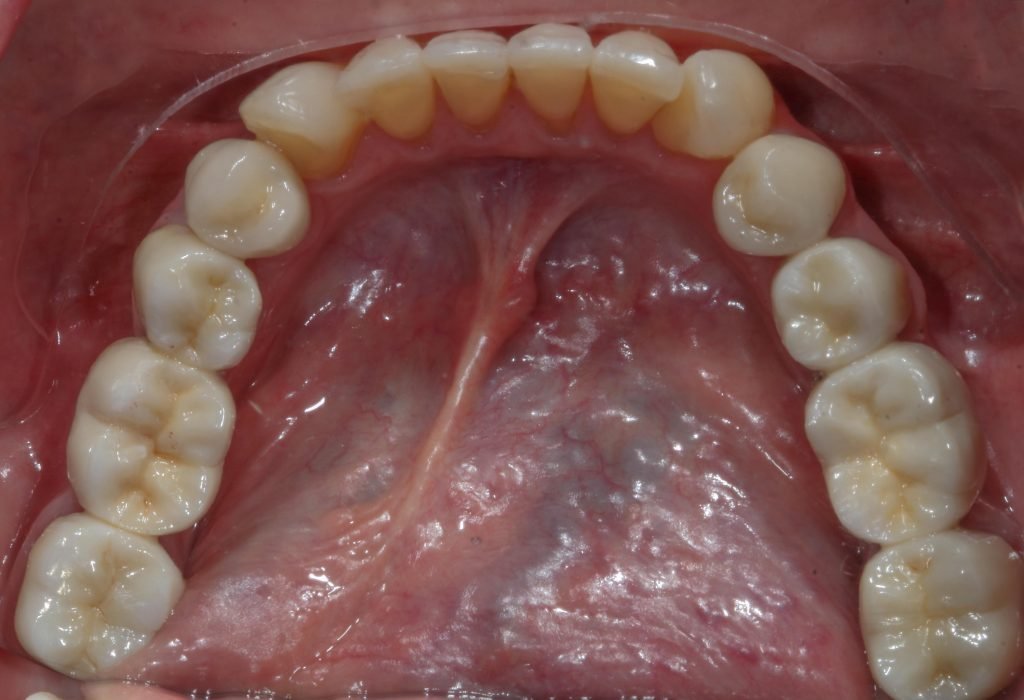
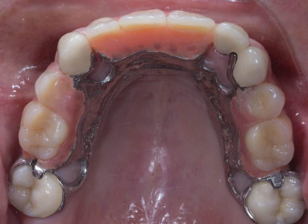
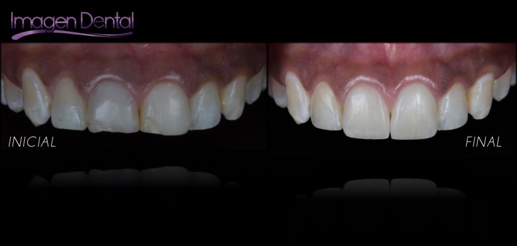
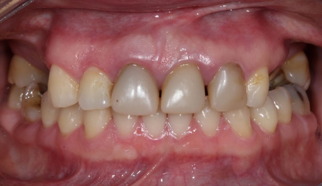
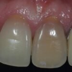
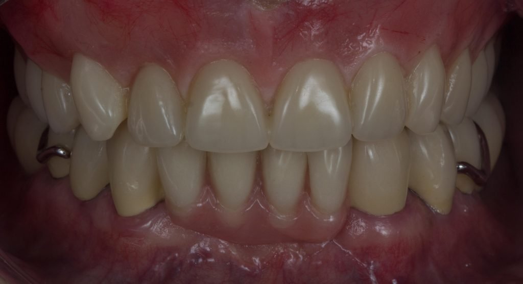
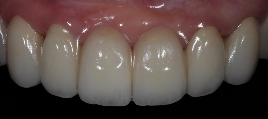
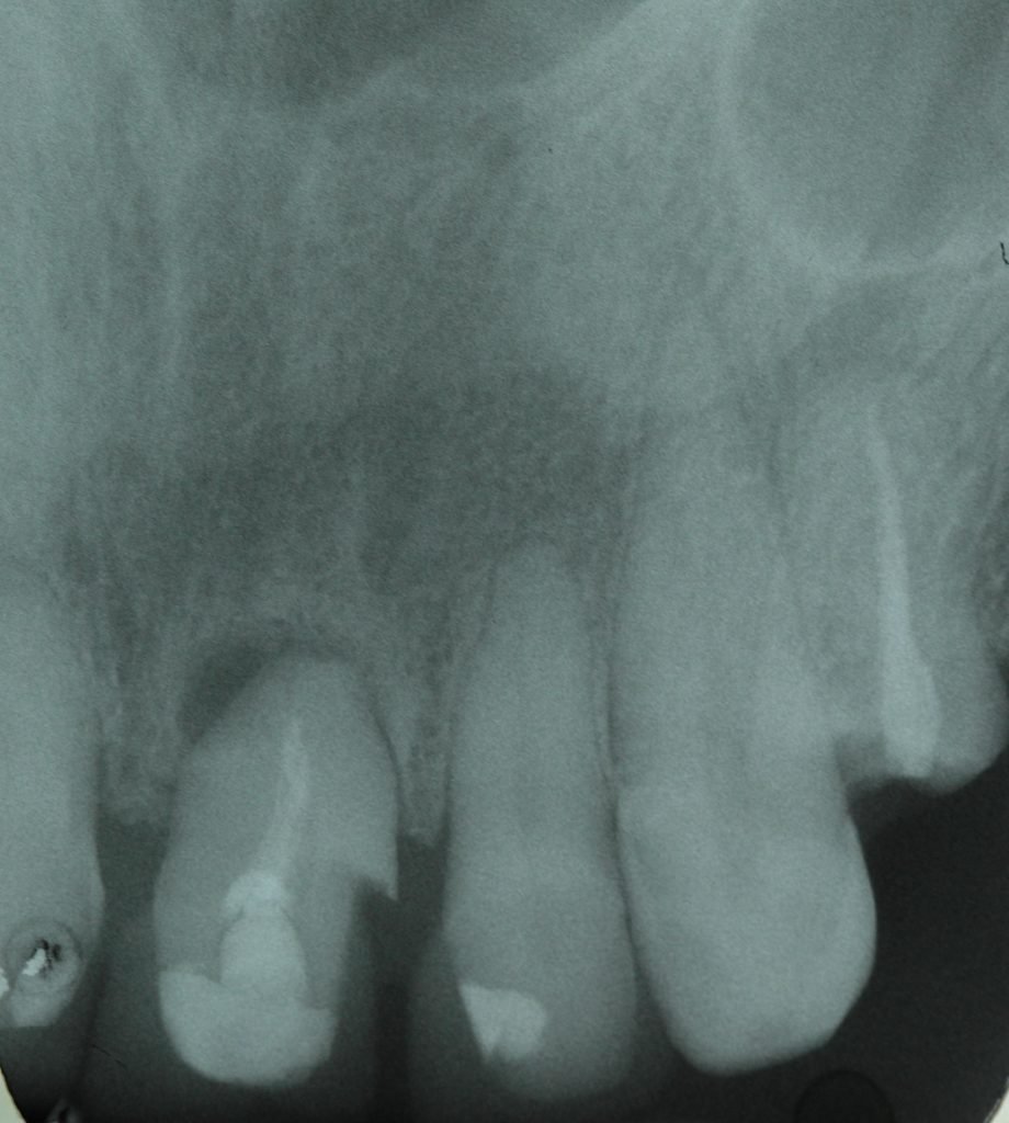
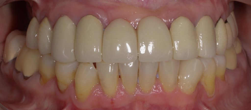
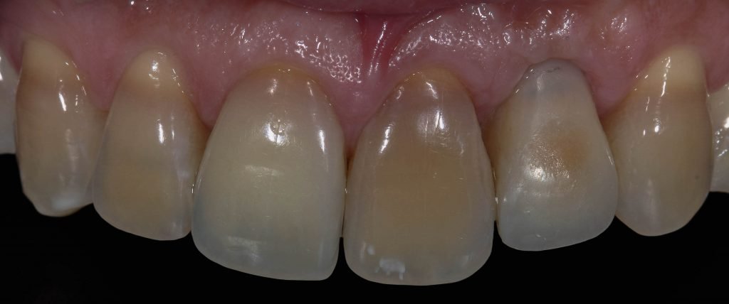
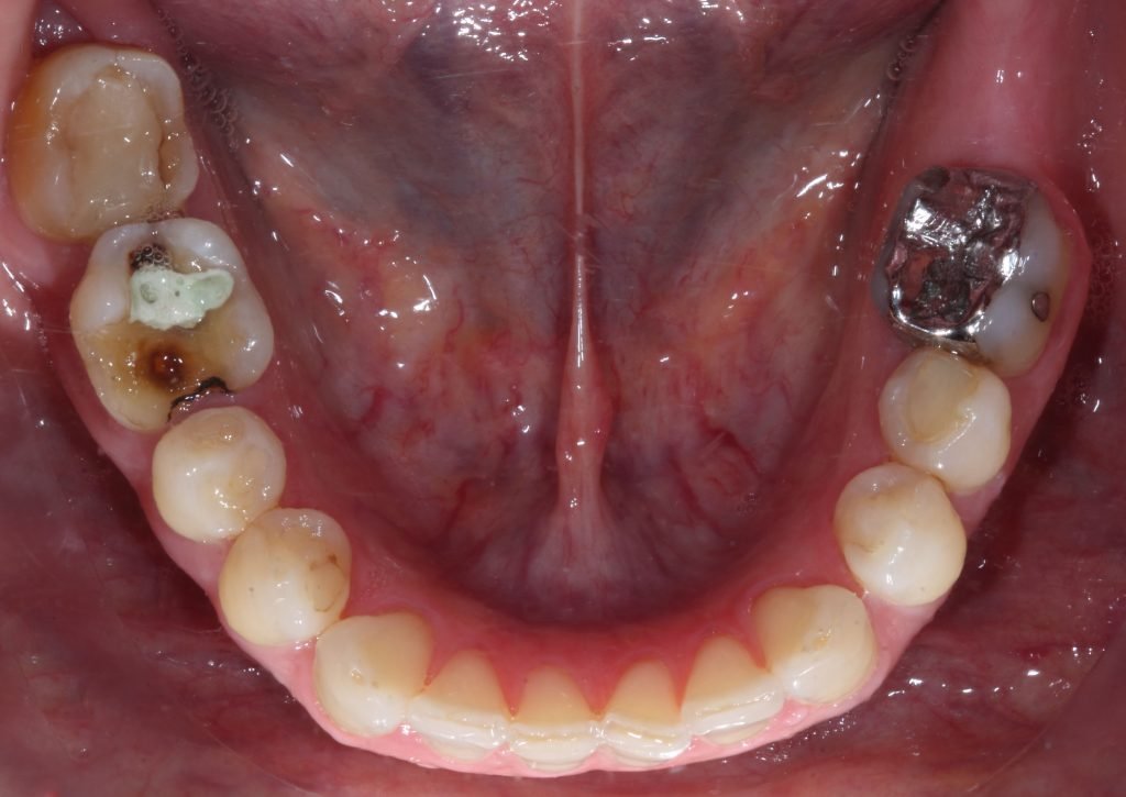
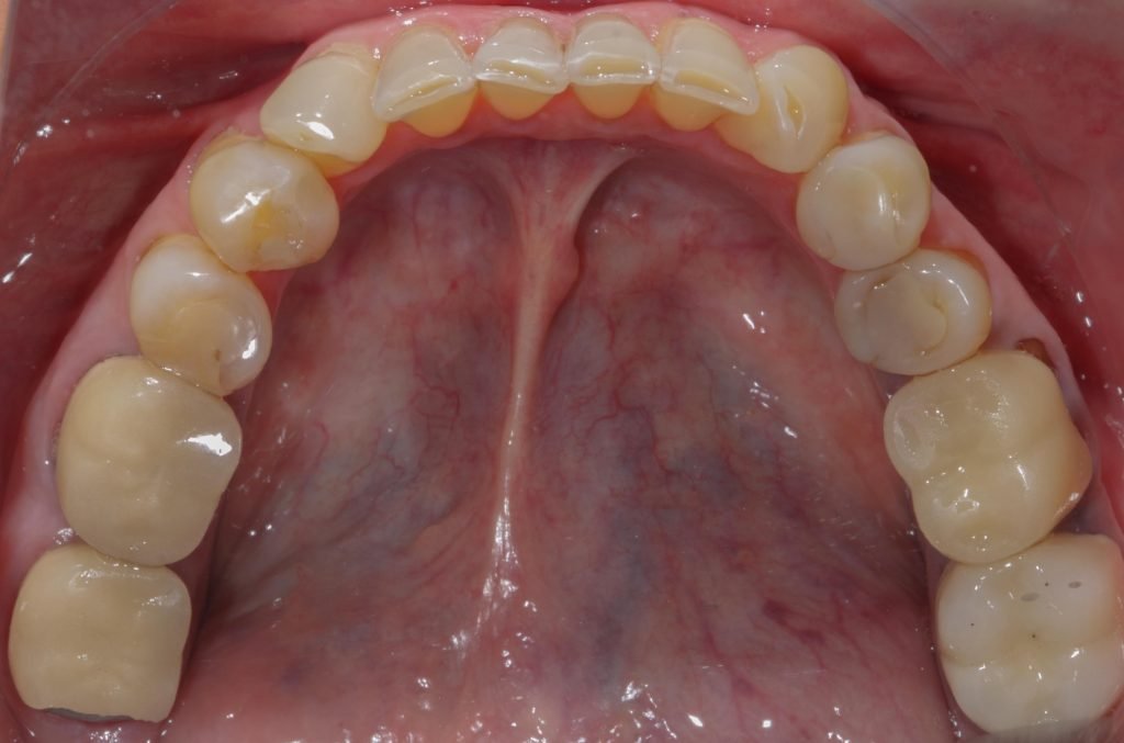
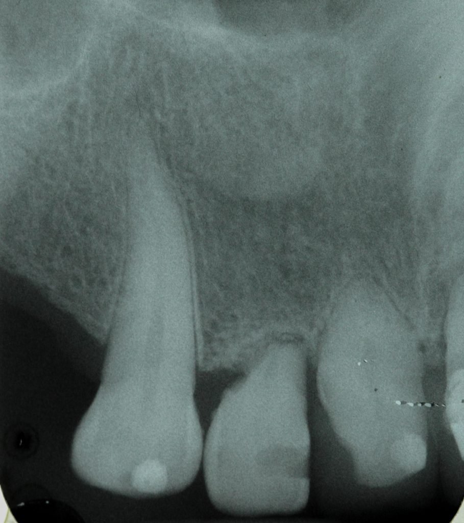
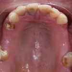
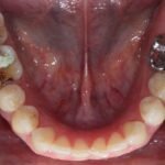
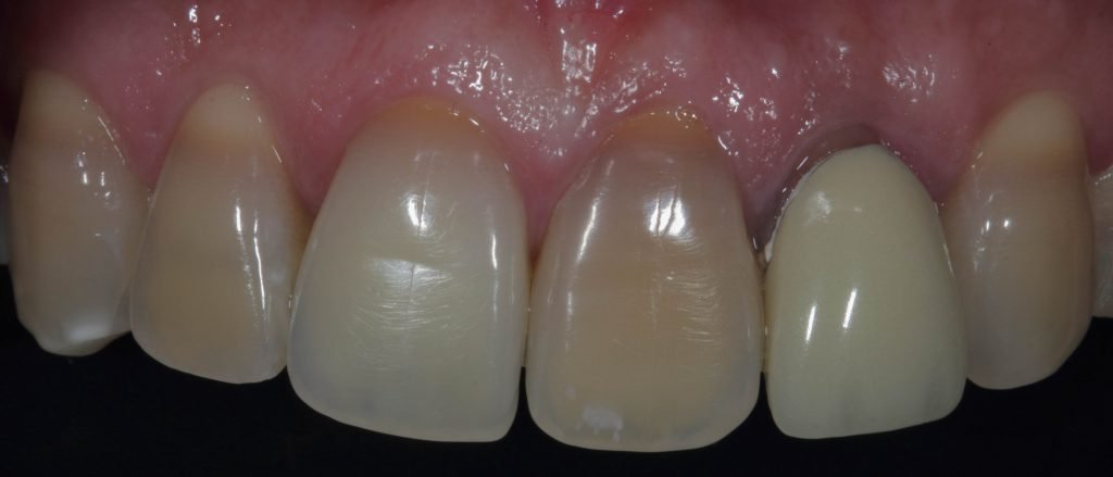
Punto Bajío Casos Clínicos Prótesis Fija sobre Implante unitario Inicio Provisional Final Prótesis Parcial Fija sobre 2 Implantes 2 Implantes Final Prótesis Bucal Removible Inicial Inicial Superior Inicial Inferior Rayos X Inicial Rayos X Inicial Frontal Final Final Superior Final Inferior Prótesis Parcial Fija/ Coronas de Circonio Sonrisa Inicial Foto Inicial Foto Inicial Inferior Foto Final Inferior Foto Final Sonrisa Final Prótesis Total Protesis Inmediatas 1 Protesis Inmediatas 2 Prótesis Removible/ Coronas Metal-Ceramica Carillas Incrustaciones Endodoncia